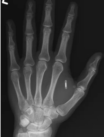
A magician who implanted an RFID chip in his hand for performance purposes has found himself in an unexpectedly ironic predicament. He’s completely locked out of his own body modification after forgetting the password he set years ago.
Zi Teng Wang took to Facebook to share his amusing yet frustrating situation, explaining how the high-tech implant has become a permanent fixture he can no longer control or modify. The chip, originally intended to enhance his magic routines, has essentially become digital deadweight embedded in his flesh.

When Wang first had the chip installed, his vision was to create jaw-dropping illusions by having audience members scan their phones against his hand. However, the reality proved far less spectacular than he imagined.
The magician discovered that most smartphones have their RFID readers turned off by default, and the trick of scanning someone else’s device against his palm “really doesn’t come off super mysterious.”
Attempting to salvage some utility from the implant, Wang repeatedly reprogrammed the chip for various purposes. At one point, he loaded it with a Bitcoin address, though he admitted this information never naturally came up in conversation. He later switched to something more lighthearted—a link to a meme hosted on the image-sharing platform Imgur.

The trouble began when that meme link eventually disappeared from the internet. When Wang attempted to rewrite the chip with new information, he hit a digital brick wall: he couldn’t remember the password he had set to protect it.
Seeking help from what he described as “techie friends,” Wang learned the unfortunate truth about his situation. The chip was “too dumb and simple to hack,” meaning sophisticated hacking tools wouldn’t be of any use.
The only potential solution would involve attaching an RFID reader to his hand continuously for “days to weeks” while systematically attempting every possible password combination in a brute force attack.
While the original Imgur link has since returned online, the chip itself remains firmly locked, leaving Wang with an implant that has become nothing more than an unchangeable piece of hardware beneath his skin.
Despite the inconvenience, Wang has maintained a sense of humor about the whole ordeal. He acknowledged that the situation is simultaneously frustrating and comical, noting that he can now “honestly say that I forgot the password to my own hand.”
The incident serves as a cautionary tale about the permanence of body modifications in the digital age, where forgetting a password doesn’t just mean losing access to an account—it can mean losing control of a piece of technology that’s literally part of your body.